-

폐렴
폐렴은 폐의 염증으로 인해 폐 조직에 손상을 줄 수 있는 질환으로, 세균, 바이러스 또는 기타 미생물에 의해 주로 발생합니다.
이 질병은 호흡기 기능 저하와 같은 심각한 증상을 보일 수 있으며, 어린아이, 노인, 면역력이 약한 사람들에게 더 큰 위험을 가지며 예방접종과 적절한 관리가 중요합니다.
세균에 의한 폐렴
세균에 의한 폐렴은 세균이 호흡기로 침입하여 폐 조직에 염증을 일으키는 경우입니다. 주로 폐렴구균이나 폐렴을 유발하는 다른 세균주들이 이에 해당합니다.
세균성 폐렴은 감염된 폐조직에 염증과 붓음이 발생하며, 분비물이 생산되고 폐 기초가 채워입니다.
바이러스에 의한 폐렴
바이러스에 의한 폐렴은 호흡기 바이러스가 폐 조직에 감염되어 염증을 유발하는 경우입니다. 인플루엔자 바이러스, 호흡기 소아 증후군, 인페르노 바이러스 등이 이에 해당합니다.
바이러스성 폐렴은 폐조직의 염증과 함께 감염 부위에서 액체가 쌓이는 것이 특징입니다.
기타 폐렴 원인
폐렴은 위의 세균과 바이러스 외에도 진균, 원충류 또는 화학물질 등으로 인해 발생할 수 있습니다. 진균 폐렴은 진균이 호흡기로 침입하여 폐조직을 감염시키는 질환으로, 흔히 특정 지역의 곰팡이나 곰팡이 포자에 노출됨으로써 발생합니다.
화학물질에 의한 폐렴은 유해한 화합물에 노출됨으로써 발생하며, 이는 폐렴 조직에 손상을 일으킬 수 있습니다.
폐렴 증상
고열
폐렴은 고열을 유발 합니다. 체온이 38도 이상으로 올라가는 것이 일반적이며, 몸의 감염 대응 메커니즘이 작동함에 따라 고열이 나타날 수 있습니다.
숨쉬기 곤란
폐렴으로 인한 폐의 염증으로 인해 숨쉬기가 어려워질 수 있습니다. 호흡곤란은 폐 기능 저하로 인해 발생할 수 있으며, 특히 폐 조직에 염증과 액체가 쌓여 산소 공급이 제한될 경우 더 심각해질 수 있습니다.
기침과 가래
폐렴 환자는 건조하거나 가래가 있는 기침을 경험할 수 있습니다. 가래는 종종 녹색 또는 노란색일 수 있으며, 이는 감염 부위의 분비물로 인해 발생합니다.
흉통
폐렴은 가슴이 아프고 불편할 수 있습니다. 호흡과정에서 가슴의 통증이 발생할 수 있으며, 때때로 흉부에서 발생하는 심한 통증으로 나타날 수 있습니다.
폐렴 진단 방법
혈액검사
혈액검사는 폐렴의 진단에 중요한 역할을 합니다. 염증 마커들인 백혈구 수치가 증하고 C-반응단백질 및 다른 염증 표지자가 높을 수 있습니다.
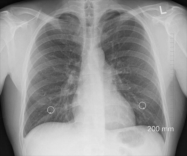
흉부 X-ray 또는 CT 스캔
폐렴의 증상과 의심되는 경우 의사는 흉부 X-ray 또는 CT 스캔을 요청할 수 잇습니다. 이를 통해 폐의 염증과 증상의 정도를 시작적으로 확인할 수 있습니다. X-ray는 초기 진단에 유용하며, CT 스캔은 더 세부적인 정보를 제공합니다. 폐렴에 의한 염증, 액체 축척, 기타 폐 손상을 보다 자세히 확인할 수 있습니다.
폐렴 치료 방법
약물치료
첫번째로 항생제가 있습니다. 항생제는 세균성 폐렴의 경우, 세균종류와 감수성에 따라 의사는 적합한 항생제를 처방해 줍니다. 이는 감염을 제거하고 호전을 도와줍니다.
두 번째 항바이러스제는 바이서스성 폐렴의 경우, 특정 바이러스에 대한 항바이러스제가 사용됩니다.
세 번째 진통제 및 해열제는 통증 및 고열 관리를 위해 의사의 처방에 따라 진통제와 해열제가 사용될 수 있습니다.
산소 치료
호흡이 곤란한 경우 또는 산소 공급이 필요한 경우 의사는 산소 치료를 권장할 수 있습니다. 산소 치료는 산소를 추가로 공급하여 호흡을 지원하고 산소 공급량을 조절합니다.














